Phát hiện sớm ung thư vú nhờ công nghệ AI

Phát hiện sớm ung thư vú nhờ công nghệ AI
3 giờ trướcBài gốc
AI giúp chẩn đoán ung thư vú ở giai đoạn rất sớm
Chị H. vốn có thói quen khám sức khỏe định kỳ mỗi năm, tuy nhiên trong những lần trước, chị chỉ thực hiện siêu âm vú và không phát hiện bất thường. Ở lần khám gần đây, bác sĩ khuyến nghị chụp X-quang tuyến vú để đánh giá thêm những tổn thương nhỏ hoặc kín đáo mà siêu âm có thể bỏ sót. "Lần nào đi khám sức khỏe định kỳ tôi cũng nghĩ mình vẫn ổn, chỉ cần siêu âm là đủ. Không ngờ, lần này nhờ chụp X-quang vú có hỗ trợ trí tuệ nhân tạo (AI) mà tôi được phát hiện ung thư vú ở giai đoạn rất sớm," chị H (46 tuổi) chia sẻ.
Chia sẻ về trường hợp của chị H, ThS.BS Nguyễn Văn Quế (Phụ trách nhóm chuyên sâu hình ảnh học tuyến vú – Bệnh viện Đại học Y Hà Nội) cho biết đây là một ca khó. Bởi tổn thương thuộc nhóm không tạo khối, kích thước rất nhỏ, nên hầu như không thể quan sát được trên siêu âm. Do vậy, ngay cả khi xem hình ảnh X-quang vú, nếu chỉ nhìn thoáng qua, cũng rất dễ bỏ sót vì mô vú của bệnh nhân thuộc loại vú đặc, khiến tổn thương bị che khuất trong cấu trúc nhu mô.
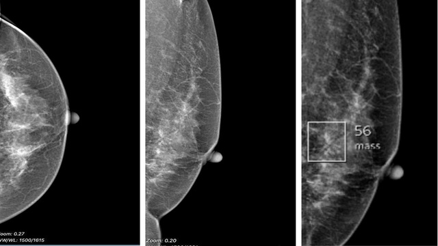
Hình ảnh phim chụp Xquang tuyến vú trái của bệnh nhân H theo hướng CC và MLO có tổn thương nhỏ được phát hiện bới AI.
Khi hình ảnh được phân tích bằng phần mềm trí tuệ nhân tạo (AI), hệ thống đã phát hiện một vùng biến đổi cấu trúc mô vú rất nhỏ và kín đáo. Các bác sĩ đã tiến hành chụp ép phóng đại tập trung vào khu vực nghi ngờ, và trên hình ảnh phóng đại, tổn thương trở nên rõ nét hơn rất nhiều.
Bệnh nhân được chỉ định sinh thiết lõi dưới hướng dẫn X-quang, kết quả xác định là ung thư vú giai đoạn sớm. Nhờ phát hiện kịp thời, bệnh nhân chỉ cần thực hiện phẫu thuật xâm lấn tối thiểu để lấy bỏ tổn thương, bảo tồn được phần lớn tuyến vú. Sau mổ, bệnh nhân được kết hợp điều trị bổ trợ, giúp giảm đáng kể chi phí và thời gian điều trị. Điều đặc biệt là việc giữ lại gần như toàn bộ tuyến vú đã giúp bệnh nhân cảm thấy thoải mái, tự tin và nhẹ nhõm hơn rất nhiều trong cuộc sống sau điều trị.
Biến AI thành người cộng sự thông minh của bác sĩ
PSG.TS Lê Tuấn Linh (Giám đốc Trung tâm Chẩn đoán hình ảnh & Can thiệp điện quang – Bệnh viện Đại học Y Hà Nội), cho biết: "Trong bối cảnh số ca ung thư vú ở Việt Nam tăng nhanh, nhưng tỷ lệ phát hiện sớm còn thấp, việc ứng dụng AI trong hỗ trợ chẩn đoán hình ảnh tuyến vú là xu hướng tất yếu. AI giúp bác sĩ phát hiện tổn thương nhỏ, hỗ trợ ra quyết định nhanh và chính xác hơn, đặc biệt trong các trường hợp vú đặc".
Hệ thống X-quang vú 3D tích hợp phần mềm AI tại Bệnh viện Đại học Y Hà Nội.
Theo PSG.TS Lê Tuấn Linh, hiện nay Bệnh viện Đại học Y Hà Nội đã triển khai ứng dụng trí tuệ nhân tạo (AI) trong nhiều lĩnh vực chẩn đoán hình ảnh, đặc biệt là sàng lọc và chẩn đoán ung thư vú trên cả X-quang và siêu âm tuyến vú. Kết quả bước đầu rất khả quan, cho thấy AI giúp phát hiện thêm nhiều tổn thương nhỏ, kín đáo mà trước đây dễ bị bỏ sót, từ đó nâng cao hiệu quả chẩn đoán sớm và điều trị kịp thời cho người bệnh.
PSG.TS Lê Tuấn Linh khẳng định việc đầu tư và trang bị hệ thống AI là bước đi chiến lược của bệnh viện, nhằm nâng cao chất lượng sàng lọc, giảm tải cho bác sĩ và mang lại lợi ích thiết thực cho người bệnh: "Chúng tôi muốn phụ nữ Việt Nam được tiếp cận công nghệ chẩn đoán sớm tiên tiến, không thua kém bất kỳ quốc gia nào trên thế giới".
Theo số liệu GLOBOCAN 2022, ung thư vú là loại ung thư phổ biến nhất tại Việt Nam, với hơn 24.500 ca mắc mới mỗi năm, chiếm gần 29% tổng số ca ung thư ở nữ giới. Đây cũng là nguyên nhân gây tử vong đứng thứ tư trong các loại ung thư ở phụ nữ Việt Nam, với hơn 10.000 ca tử vong/năm.
Kim Dung
Nguồn SK&ĐS : https://suckhoedoisong.vn/phat-hien-som-ung-thu-vu-nho-cong-nghe-ai-169251008105442948.htm