Rối loạn ý thức, người phụ nữ được chẩn đoán nhiễm ấu trùng sán dây lợn

Rối loạn ý thức, người phụ nữ được chẩn đoán nhiễm ấu trùng sán dây lợn
8 giờ trướcBài gốc
Gần đây, khoa Hồi sức truyền nhiễm - Viện Lâm sàng các bệnh Truyền nhiễm tiếp nhận một người bệnh nữ được chẩn đoán theo dõi nhiễm ấu trùng sán dây lợn.
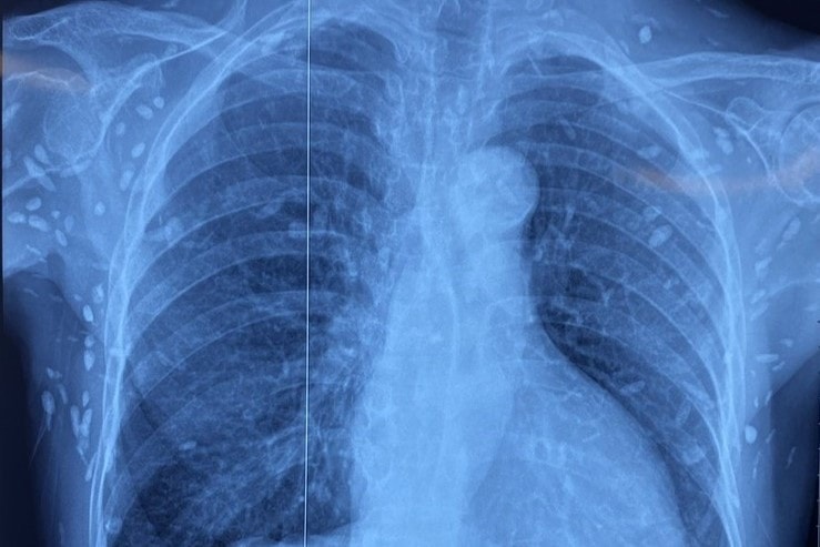
Bệnh nhân được chuyển lên từ tuyến trước trong tình trạng rối loạn ý thức, đe dọa suy hô hấp. Hình ảnh cắt lớp vi tính sọ não và X-quang ngực cho thấy rất nhiều nốt cản quang trong nhu mô não và dưới da vùng ngực - bụng. Một số u cục có thể sờ thấy dưới da vùng ngực và cánh tay.
Mặc dù xét nghiệm kháng thể IgM với sán dây lợn âm tính, song các tổn thương trên hình ảnh X-quang gợi ý người bệnh đã từng nhiễm ấu trùng sán dây lợn.
Nhiều nốt cản quang dưới da thành ngực, bụng và chi trên. Ảnh: BVCC
Sau đó các nang sán bị vôi hóa và tồn tại lâu dài trong tổ chức. Người bệnh được điều trị theo phác đồ bệnh chính, đáp ứng tốt và được ra viện, tiếp tục theo dõi điều trị tại tuyến dưới.
Các bác sĩ cho biết, sán dây lợn (Taenia solium) là ký sinh trùng gây bệnh ở người, sán trưởng thành sống trong ruột có thể dài từ 2 đến 7 mét, gồm hàng nghìn đốt. Trứng sán theo phân ra ngoài, khi lợn ăn phải sẽ phát triển thành ấu trùng, tạo các nang sán (thịt lợn gạo) trong cơ.
Người có thể bị nhiễm sán dây lợn do ăn thịt lợn gạo chưa chín hoặc ăn rau sống, uống nước nhiễm trứng sán. Ấu trùng có thể di chuyển lên não, mắt, cơ, gây đau đầu, rối loạn tâm thần, vận động, động kinh, giảm thị lực.
Theo thời gian, nang sán có thể thoái hóa hoặc vôi hóa, tạo nên nhiều nốt cản quang trên phim X-quang như trong trường hợp trên.
Các chuyên gia khuyến cáo, để phòng tránh nhiễm sán dây lợn, mọi người cần duy trì thói quen ăn chín, rửa tay trước khi ăn, không ăn thịt lợn tái để phòng bệnh.
Ấu trùng sán lợn sẽ chết khi đun sôi ở 100°C trong 2 phút. Người có nguy cơ cao hoặc có triệu chứng nghi ngờ cần khám sớm để chẩn đoán và điều trị kịp thời, tránh biến chứng nguy hiểm.
Mạnh Hưng
Nguồn Đại Biểu Nhân Dân : https://daibieunhandan.vn/roi-loan-y-thuc-nguoi-phu-nu-duoc-chan-doan-nhiem-au-trung-san-day-lon-10389868.html