Sa sút trí tuệ ở người cao tuổi dễ nhầm sang bệnh lý khác, bác sĩ khuyến cáo

Sa sút trí tuệ ở người cao tuổi dễ nhầm sang bệnh lý khác, bác sĩ khuyến cáo
một giờ trướcBài gốc
Điển hình, trường hợp N.V.C ( 74 tuổi, TP. Hồ Chí Minh) nhập viện trong tình trạng giao tiếp chậm, không nhận ra được người thân, tiểu tiện không tự chủ, suốt ngày nằm trên giường do đôi chân đã không còn vững vàng.
Thời gian gần đây, bệnh nhân thường xuyên lẫn lộn thời gian và nhầm lẫn trong những thói quen sinh hoạt hằng ngày. Người thân trong gia đình và ngay cả bản thân người bệnh nghĩ mình chỉ đang mắc chứng đãng trí nên đã đến Bệnh viện Nhân dân 115 điều trị.
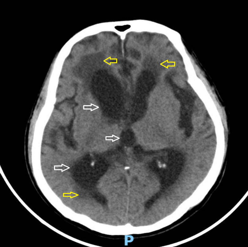
Hình ảnh cắt lớp vi tính của bệnh não úng thủy với dấu hiệu giãn não thất trung bình (mũi tên trắng), ứ dịch não tủy (mũi tên vàng). Ảnh: BVCC
Tại khoa Cấp cứu của bệnh viện, người bệnh được thăm khám và chỉ định chụp cắt lớp vi tính (CT Scan) sọ não. Hình ảnh CT Scan tại đây cho thấy não thất giãn lớn, có hình ảnh ứ dịch não tủy trong các não thất.
Sau khi hội chẩn, bác sĩ chuyên khoa Ngoại thần kinh đã nhận định ngay đây có thể là tình trạng não úng thủy - một tình trạng bệnh lý hay gặp trên những người bệnh cao tuổi.
Ngay lập tức, người bệnh được chỉ định phẫu thuật đặt hệ thống dẫn lưu dịch não tủy từ não thất vào ổ bụng, phẫu thuật này giúp lượng dịch ứ trệ được giải phóng làm giảm áp lực lên não bộ.
Sau cuộc phẫu thuật kéo dài khoảng 1 giờ đồng hồ, các triệu chứng của người bệnh cải thiện nhanh chóng, bệnh nhân đã có thể nói chuyện tự đi lại và được xuất viện sau 3 ngày.
Đáng chú ý, có người bệnh lại được chẩn đoán nhầm sang bệnh lý Alzheimer hoặc Parkinson. Ảnh minh họa
TS.BS. Nguyễn Văn Tuấn - Trưởng khoa Ngoại thần kinh, Bệnh viện Nhân dân 115 cho biết, bệnh lý não úng thủy thuộc nhóm bệnh sa sút trí tuệ ở những người trên 60 tuổi (dân gian gọi là bệnh đầu nước). Người bệnh thường thể hiện bằng biểu hiệu lú lẫn, đãng trí, khó khăn đi lại hay thậm chí mất kiểm soát việc tiểu tiện.
Việc chẩn đoán thường được kết hợp giữa thăm khám lâm sàng và hình ảnh gợi ý trên cắt lớp vi tính (CT Scan) hoặc cộng hưởng từ (MRI) sọ não.
Bên cạnh đó, với biểu hiện bệnh phát triển âm thầm và chậm nên người bệnh và gia đình thường không quan tâm hoặc có tâm lý xem đó là vấn đề tuổi già. Đáng chú ý, có người bệnh lại được chẩn đoán nhầm sang bệnh lý Alzheimer hoặc Parkinson.
Lúc này, người nhà và người bệnh chỉ có thể chấp nhận điều trị lâu dài và làm quen với những xáo trộn trong cuộc sống. Nhưng khác với những bệnh lý kể trên, não úng thủy là bệnh lý có thể được chữa lành chỉ bằng cuộc phẫu thuật đơn giản.
Theo TS.BS. Nguyễn Văn Tuấn, hiện nay thống kê có khoảng 5.4% - 8% người trên 60 tuổi mắc bệnh não úng thủy áp lực trung bình và trong đó có một số người bệnh chưa được điều trị hoặc chẩn đoán nhầm sang các bệnh lý sa sút thần kinh - vận động khác.
Bác sĩ khuyến cáo, việc thăm khám cần được thực hiện bởi bác sĩ chuyên khoa thần kinh có kinh nghiệm kết hợp với hình ảnh học để chẩn đoán. Đặc biệt, can thiệp phẫu thuật kịp thời có thể giúp cải thiện chất lượng cuộc sống của người bệnh và tránh được những tổn thương não bộ không hồi phục.
Xuân Quý
Nguồn Đại Biểu Nhân Dân : https://daibieunhandan.vn/sa-sut-tri-tue-o-nguoi-cao-tuoi-de-nham-sang-benh-ly-khac-bac-si-khuyen-cao-10396754.html