Thanh niên bị thanh sắt đâm xuyên cánh tay

Thanh niên bị thanh sắt đâm xuyên cánh tay
3 giờ trướcBài gốc
Theo đó, nạn nhân là anh T.T.B (30 tuổi), ngụ TP.HCM. Trong lúc làm việc, anh không may trượt ngã và bị thanh sắt đâm xuyên cánh tay phải.
Ngay sau đó, anh được đồng nghiệp đưa đến Bệnh viện Đa khoa Xuyên Á Đức Hòa cấp cứu.
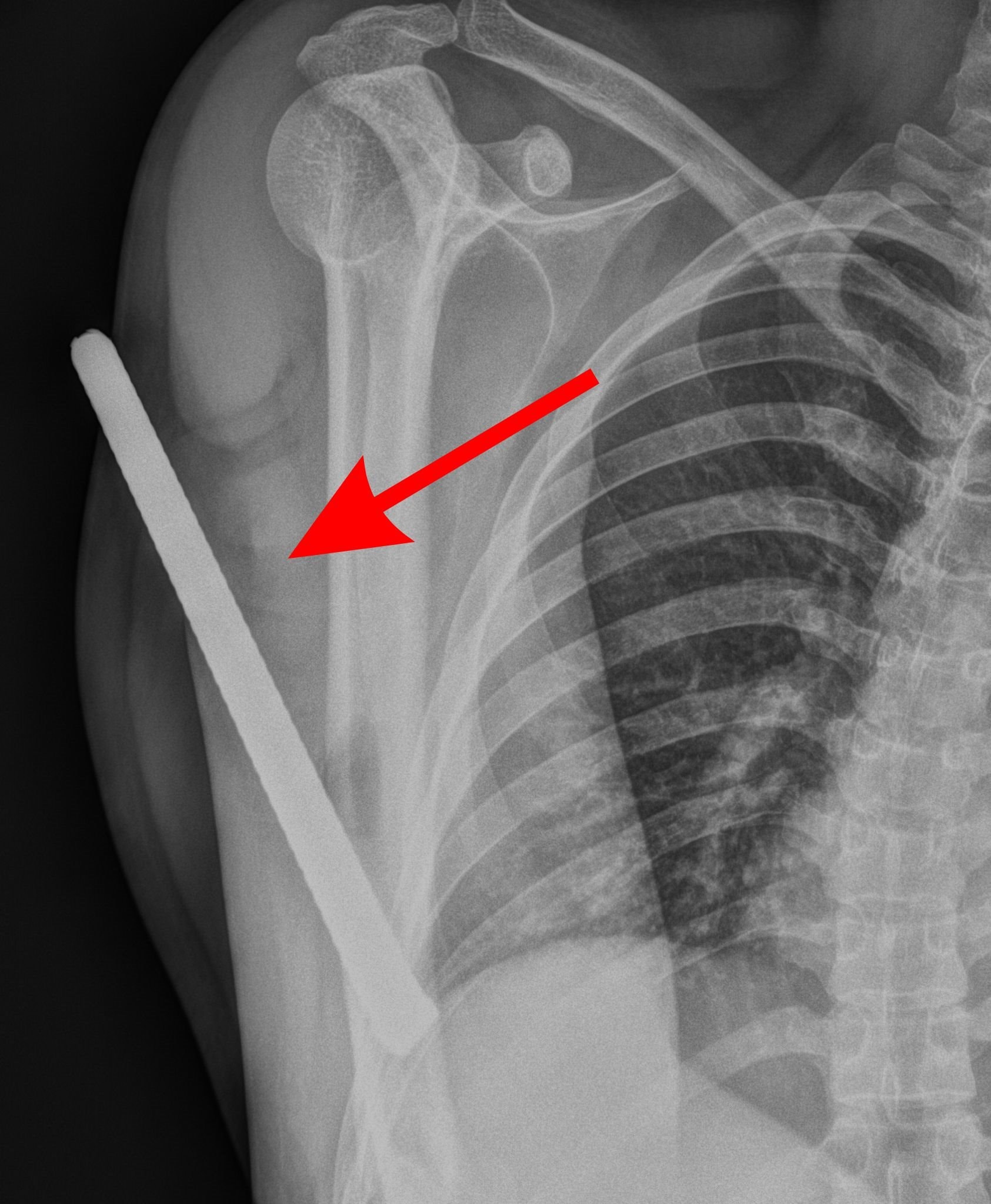
Tại đây, các bác sĩ ghi nhận dị vật xuyên từ mặt sau đầu trên cánh tay, chưa xác định được đầu còn lại.
Hình ảnh thanh sắt đâm xuyên cánh tay.
Kết quả kiểm tra cho thấy mạch máu chưa bị tổn thương nghiêm trọng, người bệnh vẫn cử động được cổ tay và các ngón tay, tuy nhiên vận động khuỷu tay bị hạn chế.
Bệnh nhân được xử trí ban đầu bằng kháng sinh, giảm đau và tiêm phòng uốn ván.
Sau hội chẩn, ê-kíp quyết định phẫu thuật khẩn cấp để lấy dị vật. Trong quá trình mổ, thanh sắt được xác định đã gây tổn thương nhiều cấu trúc như đứt một phần gân cơ nhị đầu, gân cơ tam đầu, rách màng xương và nhiễm bẩn do đất cát.
Bệnh nhân hồi phục sau thời gian điều trị.
Các bác sĩ tiến hành lấy dị vật, làm sạch vết thương, cầm máu, đặt dẫn lưu và khâu phục hồi.
Ca phẫu thuật diễn ra an toàn. Sau mổ, bệnh nhân tiếp tục được theo dõi tại khoa chấn thương chỉnh hình. Sau hơn một tuần điều trị, vết thương hồi phục tốt, chức năng vận động cải thiện rõ rệt và bệnh nhân đã được xuất viện.
Các bác sĩ cảnh báo, những tai nạn do dị vật đâm xuyên như thanh sắt, đinh hay mảnh vỡ rất nguy hiểm, có thể để lại di chứng nặng nếu xử trí sai cách.
Người dân tuyệt đối không tự ý rút dị vật ra khỏi cơ thể mà cần nhanh chóng đưa nạn nhân đến cơ sở y tế chuyên khoa.
Đồng thời, cần tuân thủ nghiêm các quy định an toàn lao động và sử dụng đầy đủ trang bị bảo hộ để phòng tránh tai nạn.
Kim Sáng
Nguồn Công Lý : https://congly.vn/thanh-nien-bi-thanh-sat-dam-xuyen-canh-tay-516227.html