U màng não, bệnh lý tiến triển âm thầm nhưng nguy hiểm

U màng não, bệnh lý tiến triển âm thầm nhưng nguy hiểm
2 giờ trướcBài gốc
Trường hợp của cô H. (59 tuổi, Hà Nội) là một minh chứng điển hình khi suốt nhiều năm cô chấp nhận mất ngủ triền miên, chỉ thỉnh thoảng sử dụng các thực phẩm hỗ trợ giấc ngủ, mà không nghĩ rằng đây có thể là dấu hiệu cảnh báo một vấn đề sức khỏe nghiêm trọng.
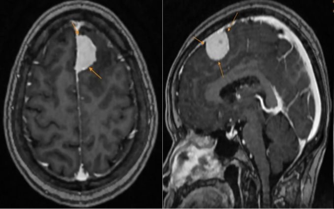
Phim chụp của bệnh nhân.
Chỉ khi các cơn đau đầu xuất hiện ngày càng dày đặc, ảnh hưởng đến sinh hoạt hàng ngày, cô mới quyết định đến Bệnh viện Đa khoa MEDLATEC để kiểm tra sức khỏe tổng quát.
Tại đây, sau khi thăm khám lâm sàng và đánh giá toàn diện, bác sỹ đã chỉ định cô thực hiện chụp cộng hưởng từ (MRI) não, phương pháp hiện đại nhất để đánh giá hình thái não bộ.
Kết quả MRI khiến cô H. bất ngờ khi có một khối u lớn vùng trán trái, kích thước khoảng 27x15mm, nghi ngờ u màng não. Nhờ phát hiện kịp thời, bác sỹ đã tư vấn phương án can thiệp an toàn và hiệu quả, hạn chế rủi ro biến chứng.
Trường hợp của cô H. là lời nhắc nhở quan trọng khi những rối loạn tưởng chừng đơn giản như mất ngủ kéo dài hay đau đầu dai dẳng có thể là dấu hiệu cảnh báo các vấn đề sức khỏe nghiêm trọng. Việc thăm khám sớm giúp phát hiện bệnh từ giai đoạn đầu là thời điểm điều trị thuận lợi nhất, hạn chế nguy cơ biến chứng và bảo vệ sức khỏe lâu dài.
U màng não là khối u phát triển từ lớp màng nhện của màng não, chiếm khoảng 15% các loại u não. Bệnh có thể gặp ở mọi lứa tuổi nhưng phổ biến ở người trưởng thành và nữ giới nhiều hơn nam giới. Phần lớn u màng não tiến triển chậm, lành tính, nhưng một số có thể ác tính.
Đa số u màng não tiến triển âm thầm, không có triệu chứng rõ rệt, khiến người bệnh khó phát hiện sớm. Khi khối u đủ lớn, chèn ép các cấu trúc não hoặc dây thần kinh sọ, biểu hiện bệnh sẽ khác nhau tùy vị trí: đau đầu, hội chứng tăng áp lực nội sọ, mất ngủ, giảm thị lực, nhìn đôi, lác, ù tai, giảm thính lực, yếu hoặc liệt tay chân, co giật, thay đổi hành vi, giảm trí nhớ hay rối loạn giấc ngủ.
Ths.Lê Quỳnh Sơn, Phòng Chẩn đoán hình ảnh, Phòng khám Đa khoa MEDLATEC Cầu Giấy cho biết, MRI và CT là những phương tiện chẩn đoán hình ảnh hàng đầu trong đánh giá các tổn thương u não. Hai kỹ thuật này không chỉ xác định chính xác vị trí và kích thước khối u mà còn cung cấp cái nhìn đa chiều về mối quan hệ giữa tổn thương và các cấu trúc não xung quanh.
MRI não đặc biệt hữu ích trong việc xác định nguyên nhân các triệu chứng bất thường như chóng mặt, đau đầu kéo dài, yếu liệt cơ, suy giảm thị lực, thính lực, động kinh, xuất huyết, phù não, tổn thương não do chấn thương hoặc đột quỵ. Đặc biệt, MRI còn giúp phát hiện sớm các ổ nhồi máu não nhỏ, ngay cả khi chưa xuất hiện triệu chứng lâm sàng.
Các bác sỹ khuyến cáo những trường hợp đau đầu kéo dài hoặc mất ngủ không rõ nguyên nhân nên được thăm khám và đánh giá sâu hơn bằng MRI hoặc CT để phát hiện sớm các tổn thương não, từ đó can thiệp kịp thời, nâng cao hiệu quả điều trị và bảo vệ sức khỏe lâu dài.
D.Ngân
Nguồn Đầu Tư : https://baodautu.vn/u-mang-nao-benh-ly-tien-trien-am-tham-nhung-nguy-hiem-d447546.html