Y học hạt nhân: 'chìa khóa' phát hiện sớm ung thư tái phát sau điều trị

Y học hạt nhân: 'chìa khóa' phát hiện sớm ung thư tái phát sau điều trị
7 giờ trướcBài gốc
Ung thư hiện vẫn là một trong những gánh nặng y tế lớn, không chỉ bởi quá trình điều trị phức tạp mà còn do nguy cơ tái phát tiềm ẩn sau điều trị.
Nhiều trường hợp ung thư tái phát diễn tiến âm thầm, không có biểu hiện lâm sàng rõ ràng trong giai đoạn sớm, khiến việc theo dõi sau điều trị trở thành yếu tố quyết định trong quản lý bệnh lâu dài.
Theo BS Mai Huy Thông - Khoa Y học hạt nhân, Bệnh viện Trung ương Quân đội 108, điểm khác biệt cơ bản của y học hạt nhân so với các phương pháp chẩn đoán hình ảnh thông thường là khả năng đánh giá chức năng và hoạt động sinh học của mô và tế bào.
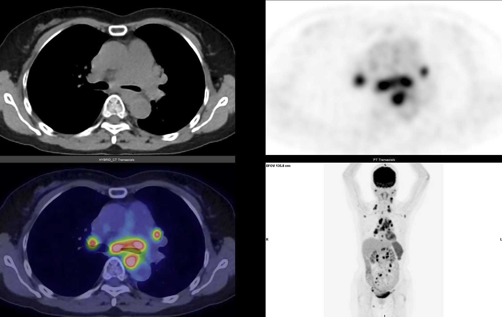
Hình ảnh FDG PET/CT ở bệnh nhân lymphoma kiểm tra định kỳ sau 1 năm điều trị, ghi nhận nhiều tổn thương tăng hấp thu FDG gợi ý tái phát bệnh. Ảnh: BVCC
Trong khi siêu âm, X-quang hay CT chủ yếu phản ánh hình thái giải phẫu, hình ảnh y học hạt nhân cho phép phát hiện những thay đổi về chuyển hóa và biểu hiện thụ thể của tế bào ung thư từ rất sớm, trước khi tổn thương có biểu hiện rõ về mặt cấu trúc.
Các kỹ thuật của y học hạt nhân sử dụng dược chất phóng xạ để ghi nhận sự phân bố và chuyển hóa trong cơ thể. Nhờ đó, bác sĩ có thể phát hiện những ổ tổn thương tái phát ngay từ giai đoạn sớm, tạo điều kiện để điều chỉnh phác đồ điều trị kịp thời và nâng cao tiên lượng cho người bệnh.
Đặc biệt, trong theo dõi ung thư, PET/CT là kỹ thuật y học hạt nhân được sử dụng phổ biến nhất hiện nay. Với các dược chất phóng xạ như 18F-FDG, 68Ga-PSMA, 68Ga-DOTATATE, PET/CT giúp đánh giá chuyển hóa glucose, mức độ biểu hiện thụ thể hoặc các đặc tính sinh học khác của tế bào ung thư.
Hình ảnh 68Ga PSMA PET/CT ở bệnh nhân ung thư tuyến tiền liệt cho thấy tình trạng di căn xương. Ảnh: BVCC
Ở nhiều loại ung thư như ung thư hạch, ung thư đầu - cổ, ung thư phổi, ung thư đại trực tràng và ung thư tuyến tiền liệt, PET/CT cho thấy độ nhạy và độ đặc hiệu vượt trội trong phát hiện tái phát so với các phương pháp hình ảnh thông thường.
Đồng thời, một lợi ích quan trọng khác của y học hạt nhân là khả năng phân biệt mô ung thư còn hoạt tính với mô xơ sẹo sau điều trị.
Theo BS Mai Huy Thông, sau phẫu thuật hoặc xạ trị, vùng mô xơ hóa có thể xuất hiện trên CT giống tổn thương nghi ngờ tái phát.
Ngoài ra, hình ảnh PET/CT giúp xác định vùng tổn thương đó có tăng chuyển hóa hay không, từ đó tránh những can thiệp không cần thiết và giảm lo lắng cho người bệnh.
Ở một số loại ung thư đặc thù, vai trò của y học hạt nhân càng được khẳng định rõ rệt, trong ung thư tuyến tiền liệt, PET/CT với 68Ga-PSMA là công cụ có độ nhạy cao trong phát hiện tái phát rất sớm, ngay cả khi nồng độ PSA chỉ tăng nhẹ.
Với các u thần kinh nội tiết, PET/CT sử dụng 68Ga-DOTATATE không chỉ giúp phát hiện tái phát mà còn định hướng điều trị bằng liệu pháp PRRT - một bước tiến quan trọng của y học hạt nhân hiện đại.
Bên cạnh đó, PET/CT, SPECT/CT cũng là kỹ thuật quan trọng của y học hạt nhân, cho phép kết hợp hình ảnh chức năng và cấu trúc, góp phần định vị chính xác tổn thương và đánh giá đáp ứng điều trị ở nhiều bệnh lý ung thư.
Hệ thống gamma camera SPECT/CT kết hợp công nghệ SPECT và CT, cung cấp hình ảnh chức năng và cấu trúc, giúp chẩn đoán và định vị chính xác tổn thương. Ảnh: BVCC
Tuy nhiên, việc chỉ định các kỹ thuật y học hạt nhân trong theo dõi ung thư cần được cá thể hóa cho từng người bệnh, dựa trên loại ung thư, giai đoạn bệnh, tình trạng lâm sàng và các xét nghiệm liên quan. Không phải trường hợp nào cũng cần PET/CT; chỉ định đúng thời điểm giúp tối ưu hiệu quả chẩn đoán, giảm phơi nhiễm tia xạ và tiết kiệm chi phí cho người bệnh.
Có thể khẳng định, y học hạt nhân đang đóng vai trò không thể thiếu trong quản lý ung thư hiện đại, đặc biệt ở giai đoạn theo dõi sau điều trị.
Sự phối hợp chặt chẽ giữa y học hạt nhân với các chuyên ngành ung bướu, chẩn đoán hình ảnh, ngoại khoa và xạ trị là nền tảng quan trọng để phát hiện sớm tái phát, điều chỉnh chiến lược điều trị kịp thời và nâng cao chất lượng sống cho người bệnh.
Mạnh Hưng
Nguồn Đại Biểu Nhân Dân : https://daibieunhandan.vn/y-hoc-hat-nhan-chia-khoa-phat-hien-som-ung-thu-tai-phat-sau-dieu-tri-10401825.html